Сыпь представляет собой выраженную патологию, обозначившуюся на кожных покровах или на слизистых оболочках. Поврежденное состояние отличается посредством цвета, внешних проявлений, строения. Сыпь может выражаться в разных вариациях, таких как точки, пятна разных размеров, язвы и других. По происхождению она может быть первичной, т.е. появившейся на здоровых участках кожи, и вторичной, ее возникновение в этом случае будет обусловлено воздействием прежнего высыпания. Сочетаясь между собой, они способны обрисовывать общую картину заболевания.
Причины патологии
Сыпь на пенисе может захватывать разные участки. Это может быть головка, ствол или вся слизистая поверхность полового органа. Возникшую патологию могут классифицировать как основное заболевание, так и вторичное, возникшее из-за нарушений в других системах жизнеобеспечения.
Появление сыпи на половом органе обусловлено структурой кожи на крайней плоти пениса – она тонкая и очень чувствительная, вследствие чего не обладает защитными механизмами для противостояния инфекциям. Высыпания в виде красных точек могут возникнуть из-за следующих причин.
Баланопостит (баланит). Это заболевание помимо головки может затронуть и крайнюю плоть, благодаря чему начнется воспалительный процесс, который будет сопровождаться появлением на обозначенных участках красной сыпи и отечности
Существуют следующие формы:
- эрозивная – при ней возникают эрозии синюшного и насыщенно-красного оттенка;
- язвенная – характеризуется появлением язв, содержащих гной;
- облитерирующая – возникновение пятен, обладающих мягкой структурой, а их цвет может быть белым или красным;
- гангренозная – является следствием тяжелого течения язвенной формы и характеризуется серьезным влиянием на состояние пениса.
Причинами возникновения баланита и его производного заболевания являются:
- нарушения в эндокринной системе;
- дерматиты разных видов;
- последствия инфекционных заболеваний.
Вирус папилломы человека. По статистике этим вирусом заражен каждый второй взрослый житель мира. Течение заболевания характеризуется возникновением так называемых кандилом, имеющих остроконечную форму и розовый цвет. Мужчины страдают от их проявлений, расположенных на стволе пениса.
Сифилис. Первым признаком, говорящем о заражении этим заболеванием, является возникновение язвы небольших размеров на головке пениса. В то же самое время по всему телу и по свободным участкам полового члена происходит распространение мелких красных высыпаний.
Кандидоз. Патология вызывается проникновением в организм грибка. Точки насыщенно-красного цвета, характеризующиеся небольшими размерами, становятся главной причиной предположений о появлении этой болезни.
Аллергии. Она способна появиться из-за принятия медикаментозных препаратов, на которые организм отвечает непереносимостью.
Псориаз. Сыпь в этом случае становится вторичным заболеванием.
Гонорея. В этом случае происходит быстрое воздействие на слизистые оболочки половых органов. Появление сыпи является одним из ранних признаков заражения венерической болезнью.
Врачи отмечают, что сыпь на головке члена может быть вызвана различными факторами. Одной из наиболее распространенных причин является аллергическая реакция на средства личной гигиены, такие как мыло или лубриканты. Также сыпь может свидетельствовать о инфекциях, передающихся половым путем, таких как герпес или сифилис. Важно учитывать, что некоторые кожные заболевания, такие как экзема или псориаз, также могут проявляться в этой области.
Для диагностики и лечения сыпи врачи рекомендуют обратиться к специалисту. В зависимости от причины, лечение может включать применение антигистаминов, противовирусных препаратов или кортикостероидных мазей. Важно не заниматься самолечением, так как неправильный подход может усугубить ситуацию. Регулярные осмотры и соблюдение правил личной гигиены помогут предотвратить возникновение сыпи и сохранить здоровье.

Когда стоит идти к врачу?
Обращение к специалисту при возникновении сыпи на пенисе необходимо в случае:
- Если высыпание не пропадает в течении долгого времени, примерно двух недель.
- Появлении отечности половых органов и неприятных ощущений в виде зуда и жжения.
- Наличия шелушения на поверхности слизистой или пятен красноватого оттенка с четко очерченной границей.
- Возникновения язв и пузырчатой сыпи с нахождением внутри жидкости.
- Сопровождения высыпаний повышением температуры тела.
- Плохой заживляемости повреждений.
- Наличия на половом члене сочетаний нескольких разновидностей сыпи.
Мелкая сыпь
Помимо всех вышеперечисленных факторов появления подобных образований можно отметить еще и поражение по причине травмы. Возможность ее возникновения существует во время полового акта из-за слишком большой активности или резкости фрикций. Выражается высыпаниями в виде точек, находящихся преимущественно на месте повреждения. Особого лечения в этом случае не нужно, стоит только немного повременить с занятиями сексом, желательно до полного исчезновения сыпи.
Самым ярким примером мелких проявлений можно назвать высыпания, являющиеся симптомами сифилиса и гонореи.
Сыпь на головке члена — это проблема, о которой многие мужчины предпочитают не говорить, но она вызывает значительное беспокойство. Причины появления сыпи могут быть разнообразными: от аллергических реакций на средства личной гигиены до инфекционных заболеваний, таких как грибковые или вирусные инфекции. Некоторые мужчины отмечают, что сыпь может возникать после незащищенного полового акта или при недостаточной гигиене.
Лечение зависит от причины: в случае аллергии достаточно сменить средства ухода, а при инфекциях могут потребоваться антибиотики или противогрибковые препараты. Важно не заниматься самолечением и обратиться к врачу, так как некоторые состояния могут требовать специализированного подхода. Многие мужчины подчеркивают, что открытое обсуждение проблемы с медицинским специалистом помогает снять напряжение и найти эффективное решение.

Сыпь без зуда
Подобные проявления, конечно, внушают определенное беспокойство, но прежде чем бить тревогу, нужно успокоиться и отправиться в медицинское учреждение, оставив все плохие предчувствия на потом. Вполне возможно, что все ваши опасения окажутся беспочвенными.
Существует такое понятие как перламутровые папулы, их внешний вид довольно схож с теми высыпаниями, которые могут принести вред организму. Пока они не воспалены, неприятных последствий ждать не придется, но как только возникнут условия, располагающие к воспалительному процессу, все изменится в точности до наоборот.
Также с проявлениями серьезных заболеваний можно перепутать сальные железы, которыми снабжены половые органы. Они представляют собой узлы или уплотнения бледного цвета, которые могут характеризоваться возможным выделением своего белого содержимого. Их воспаление лечится с помощью гигиенических манипуляций и их дезинфицированием посредством антибактериальных и антисептических средств.
Появление непосредственно красных точек на половом органе мужчины в любом случае является плохим показателем. Причинами их появления могут стать следующие причины:
- отсутствие надлежащей личной гигиены;
- белье из синтетических тканей;
- аллергия на специфическую продукцию (средства контрацепции);
- снижение иммунитета;
- наличие таких заболеваний как хламидиоз, трихомоноз и т.д.
Последняя причина вызвана негативным влиянием жизнедеятельности бактерий (Chlamydia trachomatis, Mycoplasma hominis, Trichomonas vaginalis). Игнорирование подобных инфекций может привести к появлению тяжелых форм баланита.
Красная сыпь и точки на залупе
Образование сыпи на половом члене может быть обусловлено инфекционными или неинфекционными причинами. Первые появляются вследствие воздействия различного рода возбудителей и требуют индивидуального медикаментозного лечения. Что же касается неинфекционной природы болезни, то здесь поражающими факторами прежде всего являются действия самого мужчины или наоборот их отсутствие.
Также появление такой патологии может стать следствием нормальных физиологических процессов. В этом случае требуется лишь убедиться в безвредности образовавшейся сыпи. Для этого необходимо при первых признаках высыпаний обратится к соответствующему специалисту.
Подобные проблемы находятся в компетенции дерматовенеролога или уролога.
Несмотря на личный характер проблемы самолечением заниматься в этом случае ни в коем случае не рекомендуется. Чем раньше случится посещение врача, тем скорее выявится диагноз и будут приняты меры по устранению причины беспокойства. Подобные заболевания являются врожденными или приобретенными.
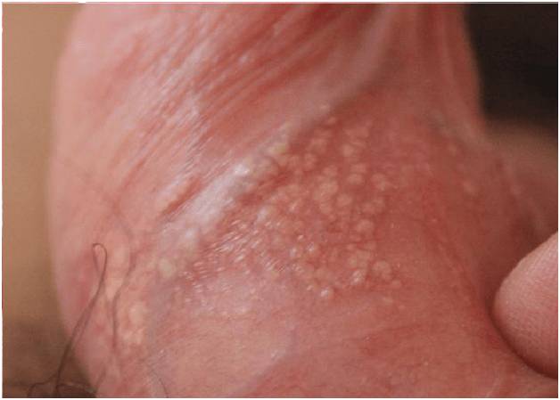
Белая сыпь на головке и крайней плоти
Она может возникнуть в следующих случаях:
- недостаточность гигиенических мер;
- заражение вирусом папилломы человека;
- заражение грибковой инфекцией.
Во всех ситуациях головка и крайняя плоть покрываются белой или попросту бледной сыпью небольшого диаметра.
Возможно принятие за опасные высыпания обычных выделений, видоизменившихся из-за воспалительных процессов, например, как при молочнице. Если все же основания для подозрений оправдаются, лечение чаще всего нужно производить с помощью антибактериальных средств.
Причин появления подобной патологии множество. Это может быть разновидность дерматита или инфекционные заболевания, источники которых довольно многочисленны. Для выяснения этого вопроса надо идти в медицинское учреждение, так как без соответствующих анализов понять что-либо будет проблематично.
Причины сыпи и жжения
Высыпания могут сопровождаться жжением и зудом разной интенсивности. Причины, порождающие подобные неприятные ощущения, могут быть следующими.
Молочница. В этой ситуации воспаление происходит по причине нахождения в паховой области болезнетворных микроорганизмов. Она сопровождается следующими симптомами:
- отечностью полового органа;
- интенсивным зудом;
- воспалительный процесс в паховой области;
- наличием сыпи и эрозий.
Заразиться молочницей можно при контакте с инфицированным человеком через половой акт без презерватива и личные вещи, предназначенные для индивидуального ухода.
Генитальный герпес. Данную болезнь подозревают в случае поражения половых органов пузырьковой сыпью. Ее появление обычно характеризуется возникновением зуда. Характерными симптомами также являются слизистые выделения, появление чесотки и жжение, возникающее при мочеиспускании. Определяющим фактором может стать увеличение лимфоузлов до болезненного состояния. Передача происходит контактным и воздушно-капельным путем.
Дерматит. Атопический тип заболевания возникает из-за аллергена, присутствующего в веществе посредством которого окрашивают ткань. Лечение не требует конкретных мер помимо избавления от раздражителя.
Фтириаз. В простонародье эту болезнь называют чесоткой. Причиной ее появления считается паразитизм чесоточного клеща на поверхности полового органов. Сильная интенсивность зуда мешает нормальной жизнедеятельности мужчины.
Схожее воздействие происходит при заражении лобковыми вшами и воздействии насекомых.
В общем, существует множество факторов, которые дают возможность появлению красных точек на пенисе. Они характеризуются различной природой возникновения, в том числе и психосоматической, которую отделяют в самостоятельную категорию. Для ее излечивания необходимо обязательное вмешательство специалистов данного профиля.
Что делать, если на головке появились красные пятнышки?
Для начала нужно вспомнить все, что происходило в две или три прошедшие недели.
Если в этот период времени была случайная связь без средств предохранения, необходимо сразу идти в больницу.
При отсутствии таких эпизодов, для паники поводов уже меньше, но все равно в ближайшие дни лучше посетить специалиста, несмотря на все смущение и деликатность положения. После визита к врачу, со знанием своего диагноза и рекомендациями от него можно уже начинать лечение, если оно, конечно, необходимо.

Лечение сыпи
Игнорирование подобных проблем может привести к переходу заболевания в хроническую форму. Поэтому при первых признаках возникновения сыпи нужно обращаться к врачу. Для диагностирования патологии необходимо прохождение полного обследования организма и сдача анализов. Исходя из полученных сведений лечащий врач определит точный диагноз заболевания и причину его возникновения, а в зависимости от них будет выбрана наиболее подходящая методика лечения. Иногда достаточно просто избавиться от воздействия раздражителя, как при аллергии.
Медикаментозная терапия сводится к применению следующих групп лекарств:
- Противовирусных.
- Антигистаминных.
- Антибактериальных.
- Иммуномодуляторов.
- Витаминно-минеральные комплексов.
Форма их потребления также может разниться. Возможно использование мазей, таблеток, разнообразных капсул, проведения курса уколов внутримышечно, введение лекарственных препаратов с помощью спринцевания.
Существуют и другие способы избавления от признаков заболеваний. К примеру, чтобы удалить последствия такого вируса как папиллома человека необходимо применять более сложные меры. К ним можно отнести:
- использование лазера;
- удаление путем иссечения;
- процедуру криодеструкции;
- процедуру электрокоагуляции.
По излечению последствий вируса папилломы необходимо провести анализ на наличие раковых клеток.
Лечение псориаза, молочницы и генитальной разновидности герпеса происходит с помощью кремов и мазей антибактериального действия. Времени на это потребуется немного, курс обычно составляет не больше 14 дней. Эффект проявляется уже после первых дней применения.
В случае с сифилисом и гонореей не все так просто, ведь они относятся к группе венерических заболеваний, лечение которых предполагает использование медикаментов комплексно. Конечно, само заболевание можно только на время купировать, так как оно не подлежит полному излечению, это больше касается сифилиса, но такие его проявления как сыпь на половом члене вполне возможно убрать. Процесс довольно трудоемок и требует постоянного контроля. Основная терапия сводится к использованию антибиотиков (тетрациклина и пенициллина), витаминных препаратов и иммуномодуляторов, антисептиков.
При выявлении факта заражения, имеющего место при половом акте, лечению должны подвергаться оба партнера.
Это позволит пресечь инфекцию на корню и не дать ей распространиться. Нужно заметить, что женщина порой является только переносчиком заболевания, но не страдает им в отличие от мужчины, или же проявления со стороны ее организма просто отсутствуют. Поэтому совместное обследование поможет избежать множества проблем.
Профилактика в этом вопросе имеет очень большое значение. К ней можно отнести тщательное соблюдение мер личной гигиены и безопасности при отношениях с противоположным полом.
Соблюдение следующих правил поможет избежать проблем подобного рода:
- Необходимо регулярно проводить туалет половых органов.
- Смена нательного белья должна быть ежедневной.
- Приветствуется ношения нижнего белья, созданного из натурального дышащего материала.
- При гигиенических процедурах нужно использовать индивидуальные, сугубо личные средства и приспособления для ухода (полотенце, губки, бритвенные лезвия и т.д.).
- Требуется избегать случайных связей с противоположным полом.
- При половом акте необходимо использование защитных средств, способных воспрепятствовать заражению венерическими заболеваниями.
- Для укрепления иммунитета нужно принимать витаминные препараты.
- Вести здоровый образ жизни и правильно питаться.
В общем, в ситуациях, ознаменовавшихся появлением чужеродных элементов на половом члене, нельзя надеяться на авось. Здесь требуется точный диагноз и своевременное лечение, в противном случае можно дождаться серьезных осложнений.
Вопрос-ответ
Как лечить сыпь на головке у мужчин?
Лечение при сыпи на члене. Аллергодерматозы лечат с помощью витаминных и противовоспалительных препаратов. Особое внимание уделяется качеству личной гигиены и применению местных антисептических средств. При генитальных инфекциях лечение необходимо проводить всем половым партнерам мужчины.
Что значит сыпь на головке у мужчин?
Перламутровые высыпания на головке полового члена — это доброкачественные образования, которые располагаются по радиусу коронки или на дорсальной стороне. Внешне они напоминают маленькие прыщики размером 1-3 мм, но не представляют угрозы здоровью и не считаются патологией. Эти образования не передаются половым путем.
Как лечить красные пятна на головке полового органа?
При обнаружении красных пятен на головке или красной сыпи (точек) следует обращаться к дерматовенерологу или урологу. Доктор назначит взятие мазков с указанием типа инфекций и вирусов, которые необходимо исключить. Пациентов направляют на прохождение анализов на половые инфекционные патологии.
Как выглядит аллергия на головке у мужчин?
Характеризуется безболезненным пятном с четкими границами темно-красного цвета. Хронические формы генитальной аллергии возникают при длительном и частом контакте с аллергеном. Характеризуются зудом, лихенификацией (утолщением) и сухостью кожных покровов.
Советы
СОВЕТ №1
Обратите внимание на гигиену. Регулярное мытье половых органов с использованием мягкого мыла поможет предотвратить накопление бактерий и уменьшить риск появления сыпи.
СОВЕТ №2
Избегайте использования агрессивных химических средств и ароматизированных продуктов для интимной гигиены. Они могут вызвать раздражение и аллергические реакции, что может привести к появлению сыпи.
СОВЕТ №3
Следите за состоянием кожи. Если вы заметили изменения, такие как зуд, покраснение или высыпания, не откладывайте визит к врачу. Раннее обращение за медицинской помощью поможет избежать осложнений.
СОВЕТ №4
Обратите внимание на свое питание и уровень стресса. Здоровая диета и управление стрессом могут положительно сказаться на состоянии кожи и иммунной системы, что поможет предотвратить появление сыпи.


 

 

 

 

 
							
							
						 
							 
 
